
高血压“伤心”了吗? 诚信双盈配资
超心神探助您“明明白白我的心”
图文/医技科 陈洁主任医师
2025年10月8日是第28个“全国高血压日”,主题是:健康体重,理想血压。高血压是世界上最常见且可治疗的心血管疾病, 在我国约有2.45亿高血压患者。很多患者早期仅有血压数值的升高,没有症状,很容易被忽略,殊不知其已经偷偷地损伤心脏、血管、脑、眼底、肾脏等多个靶器官,导致冠心病、脑卒中、肾衰竭等严重并发症,甚至危及生命。因此,高血压也被称为“隐形的杀手”。但是,高血压也没那么可怕,这些靶器官损伤早期可以通过改善生活方式、有效抗高血压治疗逆转。
早期有效识别靶器官损伤成为高血压防控的关键。这一期,我将给大家介绍的是“超心神探”——超声心动图,早期识别心脏靶器官损伤,帮助高血压患者“明明白白我的心”。
一、高血压如何偷偷伤了您的心?
高血压我们可以想象是外周的水管压力升高,心脏是人体的发动机,要顺利把血液输送到全身,就需要做更多的功,再加上神经内分泌及细胞因子等多因素的作用,导致心脏身材的改变,我们称之为心脏重构。其中左心房增大、左心室肥厚是高血压心脏早期靶器官损害的表现。它不痛不痒,但是会悄悄增加心衰、房颤、心梗死的风险!
二、为什么找“超心神探”?
家里的血压计,能测出血压高不高,但它能告诉我们心脏是否已经开始“偷偷变胖”了吗?答案是不能,但是,一旦您监测血压水平长期在正常值以上,则要警惕您的心脏的身材可能已经变形了。
心电图最常用的心脏检查,它主要测电信号,可以通过电流节奏及强度推测发动机状态,比如左心室高电压提示左心室肥厚发生的可能,但需要进一步检查来明确。
而超声心动图检查就像打开引擎盖,直接观察发动机的结构及运转情况,提供心脏结构和功能的评估,早期而准确的发现您的心脏是否已受伤。

三、超心神探看什么?
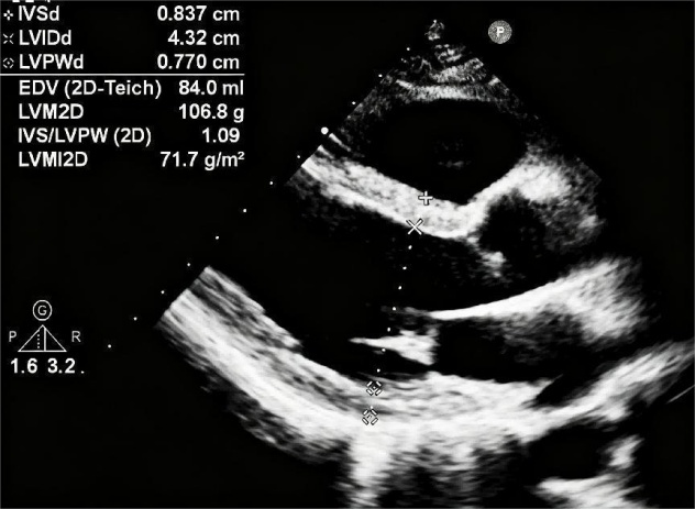
1.身材改变了吗?
超声报告上,查看室间隔、左室后壁、左心室舒张末内径等指标,是我们判断心脏变形的第一步。通过上述指标,能计算出心脏是否变胖,也就是左室质量指数,它是高血压患者不良事件的单一且重要的预测指标。发现变胖之后,可以结合相对室壁厚度来判断身材改变的类型,身材不同,发生心血管事件的风险也不同。
图1左心室构型分类
注:图片转载自《超声检查高血压心血管重构和功能临床应用指南 (2024版)》
2.功能是否受损?
超声报告上,常规可以通过左心室射血分数(LVEF)来判断左室收缩功能,通过左室纵向应变(GLS)早期识别左室收缩功能的异常。二尖瓣舒张期E/A峰比值、二尖瓣组织多普勒间壁及侧壁e’、左心房最大容积指数、三尖瓣反流最大速度等指标进行综合评估左室舒张功能。指南建议使用E/e'识别心脏靶器官损害。
图2:心尖四腔心切面测得二尖瓣口舒张早期峰值流速E,二尖瓣环处室间隔及侧壁舒张早期最大速度e’,获得二尖瓣血流E峰速度与平均e'之比,即 E/e'
四、什么情况该请这位“神探”出马? 诚信双盈配资
如果你属于以下情况,建议可以做一次超声心动图检查:
• 确诊高血压,尤其超过1年未检查心脏者
• 血压一直控制不理想
• 常常感到胸闷、气短、乏力、容易劳累
• 有高血压家族史或合并糖尿病、吸烟等风险
即使你没有任何症状,只要患有高血压,也推荐每年做一次超声心动图,实现“明明白白我的心”!
五、做好这些事,守护你的心
首先,控好血压是根本,需要坚持服药(绝大多数人需要终身服药)、定期监测血压(高血压患者宜每天测量2-3次)。保持稳定的血压才能从源头减轻心脏负担。
其次,定期“心超”体检,不让心脏的“悄悄变胖”成为隐患。
最后,改掉“伤心”的习惯,日常生活中要注意戒烟戒酒、低盐饮食、适度运动。
作者介绍
陈洁
医技科主任医师
医学博士
硕士研究生导师
【擅长】超声心动图在心血管疾病的应用、心功能评价、结构性心脏病围术期监测。
执行编辑|古停瑶、刘依诺、张晓佳
责编|梁幸琳、王爔晨
审核|刘苡婷
审定|方熙茹 诚信双盈配资
佳禾资本提示:文章来自网络,不代表本站观点。